Este sitio web utiliza cookies propias y ajenas para mejorar la experiencia de usuario y elaborar estadísticas. Suponemos que si continua navegando en este sitio web, acepta su uso.

Acepto Más información
Buscar...
×
Notas
Buscar...
No hay notas
  • ESTUDIO DE LA CÉLULA Unidad morfológica, fisiológica, genética y de origen
  • Para personalizar Pencil pulsa Alt + flecha hacia abajo
  • Para personalizar Highlighter pulsa Alt + flecha hacia abajo

    Cambiar tema

    Error - verifique su conexión a internet...
    Volver

    Blink Help

    x
    Error - verifique su conexión a internet...

    FAQ

    Sin resultados

    Ver manual completo

    ¿No has solucionado tu duda?

    Describe con el mayor detalle posible tu duda. Indícanos el libro, la clase, dispositivo de acceso, código de licencia, usuario afectado y navegador o si te ocurre en la app:

    Grosor:
    Tamaño del texto:
    Filtrar
      No se han encontrado recursos
      Tamaño del texto:
      Modo revisión

      Modo revisión

      ESTUDIO DE LA CÉLULA Unidad morfológica, fisiológica, genética y de origen
      La célula y el ciclo celular
      Sin sonido de fondo

      COMIENZA

       

      COMPETENCIAS CLAVE


      Competencia matemática y competencia en ciencia, tecnología e ingeniería.

      Competencia personal, social y de aprender a aprender.

      La célula es la unidad fundamental que forma los seres vivos, ya que es capaz de llevar a cabo por sí misma todas las funciones vitales. Su descubrimiento y estudio estuvo muy ligado al desarrollo de lentes, lupas y microscopios, por eso, hasta el siglo XVII, no se supo de su existencia.
      La rama de la biología que se encarga de su estudio se llama citología.

      RECUERDA
      ¿Procariota o eucariota?

      • Como ya sabéis, existen dos tipos de células, las procariotas y las eucariotas, pero ambas comparten una organización común. ¿Sabríais decir qué tres elementos están presentes en todas las células?

      • Comprobad en grupo si recordáis las diferencias entre las células procariotas y eucariotas realizando la siguiente actividad.

      En esta secuencia vais a aprender:

      • Cómo son las células procariotas y las eucariotas. En qué se parecen y en qué se diferencian.
      • Cuáles son los orgánulos de las células eucariotas animales y vegetales y qué funciones desarrollan cada uno. 
      • La historia del descubrimiento de la célula y cuáles son los postulados de la teoría celular.
      • Cómo son y qué permiten observar los microscopios ópticos y los electrónicos.
      • En qué consiste la teoría endosimbionte, la más aceptada actualmente para explicar el origen de las células eucariotas.

       

      ESTUDIO DE LA CÉLULA Unidad morfológica, fisiológica, genética y de origen
      La célula y el ciclo celular
      Sin sonido de fondo

      ¿Diferencias la célula procariota de las eucariotas?

      Observa los esquemas y responde a las siguientes preguntas señalando la opción correcta. 

      ¿Qué célula es procariota?​ ​.

      ¿Qué célula es eucariota vegetal?​ . 

      ¿Qué célula es eucariota animal?​ .​

      ¿Qué célula tiene cloroplastos?.​

      ¿Qué célula carece de un núcleo diferenciado?​ .

      ¿Qué célula presenta el reino moneras?​ .

      ¿Qué células tienen mitocondrias?​ .

      ¿Qué células tienen ribosomas?​ ​.

      ¿Qué células tienen membrana plasmática y citoplasma?​ .

       

       

      Hecho
      ESTUDIO DE LA CÉLULA Unidad morfológica, fisiológica, genética y de origen
      La célula y el ciclo celular
      Sin sonido de fondo

      La organización celular

      Todas las células, sean del tipo que sean, comparten una organización común:

      • Tienen una membrana plasmática que las delimita y a través de la cuál se regula el intercambio de materia, energía e información. La membrana permite a la célula tener un medio interno propio, aislado del exterior.
      • Tienen citoplasma, es decir, un espacio interno propio. Presenta un medio fluido, llamado citosol, donde están los orgánulos y demás estructuras propias de la célula y donde se llevan a cabo los procesos celulares. Todas las células, en el citoplasma, tienen ribosomas.
      • Tienen material genético, el ADN, donde están escritas todas las instrucciones que la célula necesita para el funcionamiento celular y que se transmite de la célula madre a las células hijas.

      Las células procariotas tienen una organización más sencilla que las eucariotas y, salvo alguna excepción como ciertas «bacterias gigantes», su tamaño es mucho más pequeño, entre 1 y 10 µm. Las eucariotas, por su parte, tienen un tamaño que oscila entre 10 y 100 µm, y pueden ser de tipo animal o vegetal. 
      La siguiente tabla resume las principales diferencias entre unas y otras:

       

      TIPO DE CÉLULA​ CARACTERÍSTICAS​ ESQUEMA
      Célula procariota​
      • Carecen de núcleo, su material genético está disperso en el citoplasma en una región llamada nucleoide.
      • Los únicos orgánulos que presentan son ribosomas, donde se realiza la síntesis de proteínas. ​
      • La membrana plasmática está cubierta por una pared celular rígida. Algunas presentan una cubierta externa gruesa llamada cápsula.​
      • Las bacterias son organismos procariotas.

      Célula eucariota​
      • El material genético se encuentra dentro del núcleo. ​
      • En el citoplasma tienen distintos orgánulos celulares que realizan diversas funciones.​
      • La membrana plasmática delimita la célula y permite el intercambio de sustancias con el exterior.​
      • Existen células eucariotas de tipo animal y vegetal. 
      • Son las células de los animales, las plantas, los hongos y los organismos protoctistas.
      ESTUDIO DE LA CÉLULA Unidad morfológica, fisiológica, genética y de origen
      La célula y el ciclo celular
      Sin sonido de fondo

      La célula procariota

      Las células procariotas presentan una menor complejidad que las eucariotas, pero contienen toda la maquinaria necesaria para realizar sus funciones vitales.

       

      ESTUDIO DE LA CÉLULA Unidad morfológica, fisiológica, genética y de origen
      La célula y el ciclo celular
      Sin sonido de fondo

      La célula eucariota

      Las células eucariotas pueden ser animales o vegetales, y presentan algunas diferencias. La principal es que las células animales poseen centriolos, y las vacuolas, si las hay, son de pequeño tamaño. Las células vegetales, por su parte, están delimitadas por una gruesa pared celular; contienen cloroplastos, y las vacuolas, generalmente una, ocupan gran parte del volumen celular.

      Célula eucariota vegetal
      Célula eucariota animal

       

       


       

      ESTUDIO DE LA CÉLULA Unidad morfológica, fisiológica, genética y de origen
      La célula y el ciclo celular
      Sin sonido de fondo

      Orgánulos: morfología y función

      El citoplasma de las células eucariotas contiene el citoesqueleto y diversos orgánulos que son los componentes funcionales de la célula. En el siguiente vídeo te explicamos cómo son los orgánulos celulares y qué funciones lleva a cabo cada uno de ellos. 

      /useruploads/ctx/a/447953866/r/s/138240670/ESPM000321388_655411.mp4?idcurso=4491918
       ESPM000321388sub

       

       
      ORGÁNULOS Y ESTRUCTURAS CELULARES
      subtitulo

      La célula eucariota animal está formada por la membrana plasmática, el núcleo y el citoplasma, que contiene los orgánulos y el resto de las estructuras celulares.

      • La membrana plasmática aísla la célula y permite el intercambio de sustancias con el exterior. Está formada por una doble capa de fosfolípidos, entre los que aparecen intercaladas moléculas de colesterol, proteínas de diversos tipos y glúcidos.

      • El núcleo contiene el material genético de la célula y es el orgánulo que controla todo el funcionamiento celular. Está delimitado por una doble membrana llamada envoltura nuclear, que posee poros de comunicación con el citoplasma. En el nucleoplasma se encuentra el material genético de la célula: el ADN, que forma un conjunto de fibras con aspecto de ovillo, llamado cromatina. Durante la división celular, la cromatina se condensa y forma los cromosomas. En el interior del núcleo existe una zona más densa formada por ARN y proteínas, denominada nucleolo, que solo puede verse cuando la célula no está en división. 

      • Las mitocondrias son los orgánulos donde se genera la energía que la célula necesita mediante la respiración celular. Tienen forma ovalada y están formadas por una membrana externa lisa y una membrana interna que presenta múltiples repliegues internos denominados crestas mitocondriales. 

      • Los ribosomas son partículas no membranosas que están libres en el citoplasma o adheridas al retículo endoplasmático rugoso. En ellos tiene lugar la síntesis de proteínas. 

      • El citoesqueleto es una red de filamentos de proteína que mantiene la forma de la célula, interviene en su movimiento y juega un papel importante en la división celular al asociarse con los cromosomas. 

      • El aparato de Golgi está compuesto por un conjunto de sáculos aplanados. A partir de él se emiten vesículas digestivas que contienen enzimas hidrolíticas llamadas lisosomas y vesículas de secreción con sustancias que serán expulsadas al exterior de la célula.

      • El retículo endoplasmático es un sistema membranoso formado por un conjunto de sacos y vesículas interconectados que se extienden por todo el citoplasma. El retículo endoplasmático liso está constituido por una red de túbulos que interviene en la síntesis de lípidos. El retículo endoplasmático rugoso se comunica con la envoltura nuclear y con el retículo endoplasmático liso. Está formado por una serie de cisternas unidas entre sí y presenta ribosomas adosados a su parte externa. Este orgánulo participa en la síntesis y en el transporte de lípidos y proteínas hacia el aparato de Golgi. 

      • El centrosoma está formado por dos cilindros perpendiculares de microtúbulos proteicos. Cada uno de estos cilindros se llama centriolo y participa en la motilidad celular, en la formación del citoesqueleto y en el proceso de división de la célula.

       

      ESTUDIO DE LA CÉLULA Unidad morfológica, fisiológica, genética y de origen
      La célula y el ciclo celular
      Sin sonido de fondo

      Orgánulos y estructuras celulares

      Observa el esquema y escribe el nombre de las estructuras y orgánulos celulares indicados. ​

      1. ​

      2. ​

      3. ​

      4.

      5. ​

      6.

      7. ​

       

       

        Núcleo Aparato de Golgi Centriolos Mitocondria Retículo endoplasmático rugoso Membrana plasmática Retículo endoplasmático liso

      Hecho
      ESTUDIO DE LA CÉLULA Unidad morfológica, fisiológica, genética y de origen
      La célula y el ciclo celular
      Sin sonido de fondo

      Un ejercicio de descripción

      Observa el vídeo. Describe qué tipo de célula se muestra, qué orgánulos y estructuras se ven y qué función cumplen.

      /useruploads/ctx/a/447953866/r/s/138246778/ESPM000356379.mp4?idcurso=4491918

      SOLUCIONARIO

      En el vídeo se observa una célula eucariota vegetal, donde se distingue la pared celular, que da rigidez y una forma regular a la célula, y, a continuación, la membrana plasmática. En el citoplasma se aprecia una enorme vacuola; también vemos el núcleo, dentro del cual se encuentra el material genético y donde se observa una región más oscura, el nucleolo, encargado de producir ribosomas. Continuando la envoltura nuclear, se encuentra el retículo endoplasmático, que participa en la formación de lípidos y proteínas. Adheridos a él, se observan ribosomas, unos pequeños orgánulos no membranosos con forma redondeada que realizan la síntesis de proteínas. Se ve también un conjunto de sáculos aplanados que representan el aparato de Golgi, donde se almacenan y procesan sustancias procedentes del retículo endoplasmático. Dispersos en el citoplasma se encuentran las mitocondrias y los cloroplastos; ambos orgánulos tienen una doble membrana. En las mitocondrias se realiza la respiración celular, y en los cloroplastos, orgánulos exclusivos de las células vegetales, se lleva a cabo la fotosíntesis.

       

      COMPETENCIAS CLAVE


      Competencia en comunicación lingüística.

      Competencia matemática y competencia en ciencia, tecnología e ingeniería.

       

         
      (0 palabras)

      Hecho
      ESTUDIO DE LA CÉLULA Unidad morfológica, fisiológica, genética y de origen
      La célula y el ciclo celular
      Sin sonido de fondo

      Conceptos claros

      Recuerda todo lo que has visto hasta ahora sobre las células y responde las siguientes preguntas.

      SOLUCIONARIO

      1. El núcleo, que contiene el ADN, el centrosoma y el citoesqueleto.

      2. Mitocondrias, cloroplastos, lisosomas, vacuolas, retículo endoplasmático y aparato de Golgi. 

      3. Las mitocondrias.

      4. En las células animales, el centrosoma está formado por dos centriolos. Las células vegetales tienen cloroplastos y una gruesa pared celular que rodea la membrana plasmática. En las células vegetales, las vacuolas, generalmente una, pueden llegar a ocupar gran parte del volumen celular.

       

       

      1. ¿Qué orgánulos, moléculas y estructuras celulares participan en la división celular?
      2. Nombra los orgánulos celulares que sean membranosos.
      3. ¿Qué orgánulos son los encargados de producir energía en ambos tipos de células?
      4. Explica brevemente las diferencias entre las células animales y vegetales.

      Hecho
      ESTUDIO DE LA CÉLULA Unidad morfológica, fisiológica, genética y de origen
      La célula y el ciclo celular
      Sin sonido de fondo

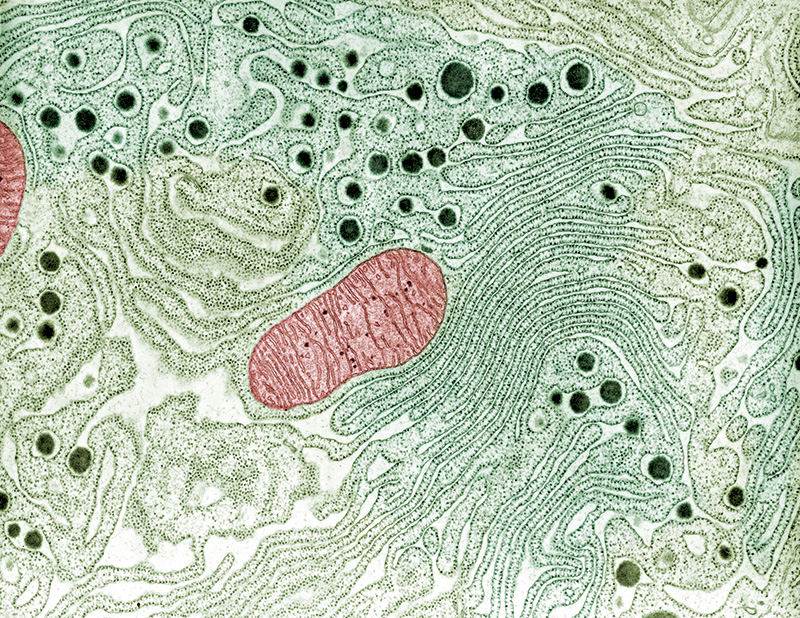
      Imágenes celulares

      El desarrollo de la microscopía ha permitido profundizar, cada vez con más detalle, en la estructura y morfología de los orgánulos celulares. Para observar células, se siguen una serie de pasos en función del tipo de célula y del microscopio que se utilice, ya sean ópticos, o electrónicos de barrido o de transmisión. ​

      En la siguiente galería verás el aspecto de los principales orgánulos celulares al observarlos con un microscopio electrónico.

       

      ESTUDIO DE LA CÉLULA Unidad morfológica, fisiológica, genética y de origen
      La célula y el ciclo celular
      Sin sonido de fondo

      SITUACIÓN DE APRENDIZAJE :
      Identificar orgánulos y estructuras celulares

      Trabajas en un laboratorio de investigación y te han pedido que clasifiques unas imágenes de orgánulos y estructuras celulares que se utilizarán próximamente en una convención. Estas son las imágenes que has encontrado al llegar al laboratorio.

      Identifícalas y coloca cada imagen en el lugar que corresponda.

      Vacuola

      Mitocondria

      Cloroplastos

      Ribosomas

      Centriolos

      Citoesqueleto

        Solución 1 Solución 2 Solución 3 Solución 4 Solución 5 Solución 6

      Hecho
      ESTUDIO DE LA CÉLULA Unidad morfológica, fisiológica, genética y de origen
      La célula y el ciclo celular
      Sin sonido de fondo

      El descubrimiento de la célula y la teoría celular

      El descubrimiento del telescopio abrió la puerta al estudio del universo. De la misma forma, el desarrollo de los primeros instrumentos ópticos, y posteriormente del microscopio, permitió acceder a un mundo invisible y hasta entonces desconocido: la célula.

      Podemos decir que la primera vez que se describió una célula fue en la segunda mitad del siglo XVII, cuando el científico Robert Hooke, utilizando un microscopio muy rudimentario, acuñó este término para describir la sucesión de pequeñas celdas que observó en una fina lámina de corcho.

      En el siglo XIX, gracias al desarrollo y la mejora en las técnicas de microscopía y tinción, se enunció la teoría celular. Actualmente, esta teoría se resume en los siguientes postulados:

      • La célula es la unidad morfológica de los seres vivos. Todos los seres vivos están constituidos por una o más células.
      • La célula es la unidad fisiológica de los seres vivos, es decir, tiene la capacidad de realizar las funciones vitales de nutrición, reproducción y relación.
      • Es la unidad de origen, ya que todas las células provienen, por división, de otras preexistentes.
      • Es la unidad genética, ya que contiene la información genética que será transmitida a la descendencia.

      Consulta en esta línea del tiempo los principales descubrimientos científicos que han ido ampliando el estudio y conocimiento de la célula a lo largo de la historia.

       

      ESTUDIO DE LA CÉLULA Unidad morfológica, fisiológica, genética y de origen
      La célula y el ciclo celular
      Sin sonido de fondo

      Un pequeño gran descubrimiento

      Señala si las siguientes afirmaciones son verdaderas o falsas.

      • La teoría celular enunciada por Hooke dice que toda célula proviene de otra preexistente.
      • Respuesta correcta
        Respuesta incorrecta
      • Leeuwenhoek observó por primera vez células vivas al microscopio y describió bacterias, gametos, protozoos y algunos pequeños organismos pluricelulares.
      • Respuesta correcta
        Respuesta incorrecta
      • Brown nombró el núcleo celular y descubrió la importancia que tenía este orgánulo para el funcionamiento de la célula.
      • Respuesta correcta
        Respuesta incorrecta
      • La observación del proceso de mitosis fue lo que dio inicio al descubrimiento de la célula.
      • Respuesta correcta
        Respuesta incorrecta
      • La palabra célula proviene del latín y significa «habitáculo, celda, pequeña habitación».
      • Respuesta correcta
        Respuesta incorrecta
      • Uno de los postulados de la teoría celular es que la célula es la unidad estructural de los seres vivos.
      • Respuesta correcta
        Respuesta incorrecta
      • En el siglo XVII se sentaron las bases de la teoría celular.
      • Respuesta correcta
        Respuesta incorrecta

      Hecho
      ESTUDIO DE LA CÉLULA Unidad morfológica, fisiológica, genética y de origen
      La célula y el ciclo celular
      Sin sonido de fondo

      ¿Qué sabes sobre el descubrimiento de la célula?

      Lee las siguientes preguntas y elige la respuesta correcta en cada caso.

      ¿Qué tienen en común todos los seres vivos? 

      ¿Qué avances técnicos contribuyeron al desarrollo de la teoría celular?
       

      ¿Qué quiere decir que la célula es la unidad morfológica y fisiológica de los seres vivos? 

      ¿Quién pudo demostrar que toda célula proviene de otra preexistente?
       

      Hecho
      ESTUDIO DE LA CÉLULA Unidad morfológica, fisiológica, genética y de origen
      La célula y el ciclo celular
      Sin sonido de fondo

      Los microscopios

      El objeto más pequeño que el ojo humano puede discernir es de alrededor de 0,2 mm (200 μm). Nos referimos a esta medida como resolución, es decir, la distancia que separa dos objetos debe estar en ese orden para que el ojo sea capaz de distinguirlos como separados, si no, aparecen a la vista como una sola mancha. La mayoría de las células son mucho más pequeñas y, por tanto, invisibles para el ojo humano. Los microscopios mejoran la resolución, de modo que permiten ver las células y sus estructuras internas.

      Existen dos tipos de microscopios: los microscopios ópticos y los microscopios electrónicos.

      Tipo Características Imagen
      Microscopios
      ópticos
      Fueron los primeros microscopios que se utilizaron para ver células y se siguen usando en los laboratorios hoy en día. Utilizan una fuente de luz visible y dos juegos de lentes de vidrio para aumentar el tamaño de la imagen. Los mejores microscopios ópticos tienen un poder de resolución de 0,2 μm y permiten ampliar la imagen hasta 1.000 veces. Con los microscopios ópticos se pueden observar células vivas, por lo que es posible analizar cómo se mueven o cómo se dividen.

      Células sanguíneas vistas al microscopio óptico.

      Microscopios
      electrónicos

      El tamaño de los orgánulos de las células es tan pequeño que no pueden verse con el microscopio óptico, por lo que hasta la década de 1950, cuando se inventó el microscopio electrónico, no llegaron a conocerse bien. En estos microscopios, la luz se sustituye por un haz de electrones, y las lentes, por campos magnéticos. De esta forma, se pueden conseguir hasta un millón de aumentos. 
      Las muestras a examinar bajo un microscopio electrónico requieren una preparación que no permite observar células vivas.

      Hay dos tipos básicos:

      • Microscopios ópticos de barrido (MEB): crean una imagen tridimensional muy detallada de la superficie de la muestra que se observa.
      • Microscopios electrónicos de transmisión (MET): permiten obtener imágenes detalladas de las estructuras internas de las células.

      Células sanguíneas vistas al MEB.

       

      ESTUDIO DE LA CÉLULA Unidad morfológica, fisiológica, genética y de origen
      La célula y el ciclo celular
      Sin sonido de fondo

      Análisis de imágenes de microscopía

      Observa detenidamente las fotografías y responde a las preguntas.

      SOLUCIONARIO

      1. La 1 y la 4. 

      2. Una mitocondria.

      3. Con un microscopio electrónico de transmisión.

      4. Con un MEB. 

      5. Permite observar células vivas.

       

      COMPETENCIAS CLAVE


      Competencia matemática y competencia en ciencia, tecnología e ingeniería

      1. ¿Qué imágenes están realizadas con microscopía óptica? 
      2. ¿Qué orgánulo se observa en la imagen 2? 
      3. ¿Con qué tipo de microscopio electrónico, que permite ver las estructuras internas de la célula, se ha tomado esa imagen? 
      4. ¿Con qué tipo de microscopio se ha tomado la imagen 3? 
      5. ¿Qué se puede observar con un microscopio óptico que no permite un microscopio electrónico? 

      Hecho
      ESTUDIO DE LA CÉLULA Unidad morfológica, fisiológica, genética y de origen
      La célula y el ciclo celular
      Sin sonido de fondo

      Teoría endosimbiótica: el origen de la célula eucariota

      Actualmente, la teoría más aceptada por la comunidad científica para explicar el origen de las células eucariotas es la llamada teoría endosimbiótica, propuesta por Lynn Margulis. En el siguiente vídeo te explicamos en qué consiste.

      /useruploads/ctx/a/447953866/r/s/138246954/ESPM000321165.mp4?idcurso=4491918
       ESPM000321165sub

       

       
      LYNN MARGULIS Y LA TEORÍA DE LA ENDOSIMBIOSIS SERIADA
      subtitulo

      Fue planteada por la bióloga Lynn Margulis y propone el origen bacteriano de la célula eucariota. Su teoría está basada en una serie de procesos de endosimbiosis entre bacterias. Una célula procariota primitiva, heterótrofa y anaerobia, habría replegado su membrana formando membranas internas que podrían haber originado el núcleo celular. Al cabo del tiempo, esta célula primitiva habría fagocitado una bacteria aerobia y la mantuvo con vida en su interior estableciendo una relación simbiótica que confirió a la célula hospedadora la capacidad de usar oxígeno para obtener energía. Este sería el origen de las mitocondrias y de las células eucariotas animales.

      Posteriormente, algunos de estos organismos simbiontes ingerirían bacterias fotosintéticas que permitirían a la célula fabricar su propio alimento. Así se explicaría el origen de los cloroplastos y de las células eucariotas vegetales. La teoría se apoya en que estos orgánulos tienen una doble membrana y cuentan con pequeñas moléculas de ADN y ribosomas propios, similares a los que presentan las bacterias.

       

      ESTUDIO DE LA CÉLULA Unidad morfológica, fisiológica, genética y de origen
      La célula y el ciclo celular
      Sin sonido de fondo

      ¿Qué sabes sobre la teoría de la endosimbiosis seriada?

      Responde de manera razonada a las preguntas.

      SOLUCIONARIO

      1. El término hace alusión a la inclusión de una célula, la endosimbionte, que vive dentro de otra, la hospedadora. 

      2. Según la teoría de Margulis, en primer lugar, aparecerían las mitocondrias, cuando una célula primitiva, heterótrofa y anaerobia, habría fagocitado una bacteria aerobia que, en lugar de digerir, mantuvo con vida en su interior. Con el paso del tiempo, se establecería una relación simbiótica que confirió a la célula hospedadora nuevas capacidades, como la de utilizar el oxígeno para obtener energía de forma más eficaz. En un paso posterior, algunos de estos organismos simbiontes ingerirían bacterias fotosintéticas que permitirían a la célula fabricar su propio alimento. Así se explicaría el origen de los cloroplastos.

      3. Las mitocondrias y los cloroplastos son orgánulos que tienen una doble membrana, posiblemente como resultado de que la célula hospedadora, al fagocitar al procarionte, lo incluyera dentro de una vesícula. Además, ambos orgánulos cuentan con pequeñas moléculas de ADN y ribosomas propios, similares a los que presentan las bacterias.

      COMPETENCIAS CLAVE


      Competencia en comunicación lingüística.

      Competencia personal, social y de aprender a aprender.

       

       

      1. ¿Qué significa el término endosimbionte? 
      2. ¿Según la teoría de la endosimbiosis seriada de Margulis, ¿qué orgánulo habría aparecido antes, las mitocondrias o los cloroplastos? Describe el proceso.
      3. ¿Qué pruebas evidencian esta teoría y apoyan el origen bacteriano de estos orgánulos? 
       

      Hecho
      ESTUDIO DE LA CÉLULA Unidad morfológica, fisiológica, genética y de origen
      La célula y el ciclo celular
      Sin sonido de fondo

      Lynn Margulis: una historia de bacterias y cooperación

      Lynn  Margulis (1938-2011) fue una prestigiosa científica estadounidense que hizo una de las mayores contribuciones al estudio de la biología evolutiva con su teoría de la endosimbiosis seriada.

      Investiga sobre su biografía y su trabajo y contesta las preguntas. Puedes buscar en la web de Mujeres con Ciencia y en artículos como el publicado por el periódico El País con el título «La genómica da la razón a Lynn Margulis». 

       

      Lynn Margulis: la vida desde la cooperación microbiana

      La genómica da la razón a Lynn Margulis

      SOLUCIONARIO

      1. Respuesta libre. Debería nombrar la importancia que sus estudios sobre microorganismos y simbiosis han tenido para comprender la evolución y el origen bacteriano de las células eucariotas.
      2. La simbiosis y la cooperación.
      3. Respuesta libre. 
      4. Margulis propuso que los cilios tenían su origen en las espiroquetas, unas bacterias de vida libre; pero, según Bill Martin, jefe de la investigación a la que se alude, todavía no se han hallado pruebas de que esto sea así. Al contrario de lo que sucede con el origen bacteriano de las mitocondrias y cloroplastos, que cuenta con evidencias científicas bastante claras. 

       

      COMPETENCIAS CLAVE


      Competencia en comunicación lingüística.

      Competencia matemática y competencia en ciencia, tecnología e ingeniería.

      Competencia personal, social y de aprender a aprender.

       

       

      1. Explica con tus palabras cuál fue la principal contribución de Margulis a la ciencia. 
      2. ¿Qué tipo de relaciones entre seres vivos, según Margulis, han sido claves en la historia de la vida?
      3. Explica con tus palabras qué quiere decir Margulis con la frase: «El pacto es la simbiosis, al final nadie gana ni pierde, sino que hay una recombinación. Se construye algo nuevo». 
      4. ¿Qué punto de su teoría, según el artículo de El País, no está demostrada? 

      Hecho
      ESTUDIO DE LA CÉLULA Unidad morfológica, fisiológica, genética y de origen
      La célula y el ciclo celular
      Sin sonido de fondo

      RECUERDA LO IMPORTANTE

       
      La células: procariotas y eucariotas
      subtitulo

      Todas las células comparten una organización común: 

      • Tienen una membrana plasmática que las delimita y a través de la cuál se regula el intercambio de materia y energía. La membrana permite tener un medio interno propio, aislado del exterior.
      • Tienen un citoplasma, es decir, un espacio interno donde se llevan a cabo los procesos celulares. Todas las células tienen ribosomas.
      • Tienen material genético, el ADN, donde están escritas todas las instrucciones que la célula necesita para vivir y que se transmite de la célula madre a las células hijas. 

        Características específicas:
        • Células procariotas
          • Carecen de núcleo, por lo que tienen el material genético disperso en el citoplasma en una región llamada nucleoide.
          • Los únicos orgánulos que presentan son los ribosomas.
          • Pueden presentar apéndices locomotores como flagelos y fimbrias.
          • Las bacterias son organismos procariotas. 
        • Células eucariotas
          • Presentan un núcleo que contiene el material genético. El núcleo tiene una envoltura nuclear perforada por poros.
          • Contiene orgánulos que realizan diferentes funciones dispersos en el citoplasma.
          • Pueden ser de dos tipos: animal y vegetal.
       
      Estructuras y orgánulos de las células eucariotas
      subtitulo
      • Membrana plasmática: delimita la célula, regula el intercambio de sustancias con el exterior y permite la comunicación con otras células. 
      • Núcleo: en su interior se encuentra la cromatina, que es el material genético de la célula, y el nucleolo (o los nucléolos). Se encarga de controlar todo el funcionamiento celular. 
      • Citoplasma: es el espacio comprendido entre la membrana y el núcleo. Está formado por el citosol, un medio acuoso donde se encuentran los orgánulos y el citoesqueleto.  
      • Citoesqueleto: constituye una red de filamentos proteicos. Mantiene la forma de la célula e interviene en el movimiento de los orgánulos y en la división celular. 
      • Mitocondrias: tienen forma ovalada y una doble membrana; en su interior hay ribosomas y pequeñas moléculas de ADN. Es el orgánulo donde se lleva a cabo la respiración celular. 
      • Ribosomas: se encuentran libres en el citoplasma o adheridos al retículo endoplasmático rugoso; en ellos se produce la síntesis de proteínas.
      • Retículo endoplasmático (RE): es un sistema membranoso formado por un conjunto de sacos y vesículas. Puede ser de dos tipos:
        • RE Liso, que interviene en la síntesis de lípidos.
        • RE Rugoso, que se comunica con la envoltura nuclear y con el RE liso. Participa en la síntesis de proteínas y en el transporte de lípidos y proteínas hacia el aparato de Golgi.
      • Aparato de Golgi: es un conjunto de sacos aplanados en los que se almacenan y procesan sustancias transferidas desde el retículo endoplasmático rugoso. Desde aquí se emiten lisosomas, unas vesículas digestivas que participan en la degradación de sustancias, y otras vesículas de secreción con productos que se expulsarán al exterior de la célula.   
      • Centrosoma: participa en la motilidad celular, en la formación del citoesqueleto y en la división celular. En las células animales está constituido por dos cilindros llamados centriolos.
      • Vacuola: compartimento rodeado de una membrana que contiene fluidos, normalmente agua. En las células vegetales suele haber una de gran tamaño.
      • Cloroplastos: son orgánulos de doble membrana encargados de realizar la fotosíntesis en las células vegetales. En su interior hay ribosomas y pequeñas moléculas de ADN. 
      • Pared celular: cubierta rígida y gruesa que rodea la membrana plasmática de las células vegetales. Da forma y rigidez a la célula.
       
      El descubrimiento de la célula y la teoría celular
      subtitulo

      El avance en las técnicas de microscopía hizo progresar en el conocimiento de la célula y en el siglo XIX se inició el desarrollo de la teoría celular, que actualmente se resume en estos puntos:

      • La célula es la unidad estructural de los seres vivos. Todos los seres vivos están constituidos por una o más células.
      • La célula es la unidad fisiológica de los seres vivos, es decir, tiene la capacidad de realizar las funciones vitales: nutrición, reproducción y relación.
      • La célula es la unidad de origen, ya que todas las células provienen, por división, de otras preexistentes.
      • Es la unidad genética, porque todas las células contienen la información genética necesaria para regular las funciones celulares y para transmitir esa información a su descendencia.
       
      Los microscopios
      subtitulo

      La mayoría de las células son invisibles para el ojo humano, ya que son de un tamaño inferior al que somos capaces de discernir. Los microscopios mejoran la resolución de modo que permiten ver las células y sus estructuras internas. Existen dos tipos de microscopios:

      • Microscopios ópticos: utilizan una fuente de luz visible y dos juegos de lentes de vidrio para aumentar el tamaño de la imagen. Los mejores microscopios ópticos tienen un poder de resolución de 0,2 μm y permiten ampliar la imagen hasta 1.000 veces y además con estos aparatos se pueden observar células vivas.  
      • Microscopios electrónicos: en estos microscopios, la luz se sustituye por un haz de electrones, y las lentes, por campos magnéticos. De esta forma, se pueden conseguir hasta un millón de aumentos permitiendo observar el interior de las células y los orgánulos celulares. Las muestras a examinar bajo un microscopio electrónico requieren una preparación que no permite observar células vivas. Hay dos tipos básicos: 
        • Microscopios ópticos de barrido (MEB): crean una imagen tridimensional muy detallada de la superficie de la muestra que se observa.
        • Microscopios electrónicos de transmisión (MET): permiten obtener imágenes detalladas de las estructuras internas de las células.
       
      La teoría de la endosimbiosis seriada
      subtitulo

      Fue planteada por la bióloga Lynn Margulis y propone el origen bacteriano de la célula eucariota. Su teoría está basada en una serie de procesos de endosimbiosis entre bacterias. Una célula procariota primitiva, heterótrofa y anaerobia, habría replegado su membrana formando membranas internas que podrían haber originado el núcleo celular. Al cabo del tiempo, esta célula primitiva habría fagocitado una bacteria aerobia y la mantuvo con vida en su interior estableciendo una relación simbiótica que confirió a la célula hospedadora la capacidad de usar oxígeno para obtener energía. Este sería el origen de las mitocondrias y de las células eucariotas animales.

      Posteriormente, algunos de estos organismos simbiontes ingerirían bacterias fotosintéticas que permitirían a la célula fabricar su propio alimento. Así se explicaría el origen de los cloroplastos y de las células eucariotas vegetales. La teoría se apoya en que estos orgánulos tienen una doble membrana y cuentan con pequeñas moléculas de ADN y ribosomas propios, similares a los que presentan las bacterias.


      Resumen. Estudio de la célula

      ESTUDIO DE LA CÉLULA Unidad morfológica, fisiológica, genética y de origen
      La célula y el ciclo celular
      Sin sonido de fondo

      Comprueba lo que has aprendido

      • ¿Qué diferencias existen entre las células procariotas y eucariotas? Señala las afirmaciones correctas.
      • Respuesta correcta
        Respuesta incorrecta
      • Si una célula tiene, entre otras cosas, membrana plasmática, pared celular, ribosomas, un flagelo y un cromosoma disperso en el citoplasma:
      • Respuesta correcta
        Respuesta incorrecta
      • Señala las funciones del núcleo:
      • Respuesta correcta
        Respuesta incorrecta
      • ¿Qué es la cromatina?
      • Respuesta correcta
        Respuesta incorrecta
      • Si decimos que participa en la motilidad celular, en la organización del citoesqueleto y en el proceso de división de la célula, nos referimos:
      • Respuesta correcta
        Respuesta incorrecta
      • ¿Qué orgánulos o estructuras son exclusivos de las células vegetales?
      • Respuesta correcta
        Respuesta incorrecta
      • ¿Qué científico acuñó la palabra célula?
      • Respuesta correcta
        Respuesta incorrecta
      • Señala las afirmaciones correctas sobre la teoría celular:
      • Respuesta correcta
        Respuesta incorrecta
      • ¿Qué teoría explica el origen de la célula eucariota?
      • Respuesta correcta
        Respuesta incorrecta
      • Según la teoría propuesta por Lynn Margulis, qué células habrían aparecido antes, ¿las vegetales o las animales?
      • Respuesta correcta
        Respuesta incorrecta
      • ¿Qué evidencias respaldan el origen bacteriano de las mitocondrias y cloroplastos?
      • Respuesta correcta
        Respuesta incorrecta

      Hecho

      ,
      Has completado el tema!

      A continuación te mostramos el tiempo empleado y el número de aciertos.

      Tiempo empleado

      Calificación

      1. 1
      2. 2
      3. 3
      4. 4
      5. 5
      6. 6
      7. 7
      8. 8
      9. 9
      10. 10
      11. 11
      12. 12
      13. 13
      14. 14
      15. 15
      16. 16
      17. 17
      18. 18
      19. 19
      20. 20
      21. 21
        Borrador
        Editor de texto enriquecido
        cerrar